El tratamiento de Ortodoncia y Ortopedia maxilar involucra distintas fases. Dependiendo de la edad del paciente; desde el nacimiento como son los pacientes con labio y paladar hendido hasta los pacientes adultos.

El tratamiento temprano es muy importante, ya que cuando se aprecia una alteración en la simetría de su cara puede ser por una alteración en el crecimiento y desarrollo de los huesos faciales, y es ventajoso para ayudar a guiar el crecimiento de la cara y maxilares y evitar interferencias durante el cambio dentario de dientes temporales (leche) a los permanentes (adulto).

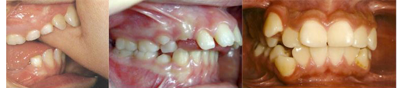
Las malas mordidas (maloclusiones) pueden ser causadas por malos hábitos, chupar uno o más dedos, colocar la lengua entre los dientes, las vías aéreas obstruidas por anginas o adenoides, pérdida prematura de los dientes primarios (leche) o de los permanentes y factores hereditarios.


Es en ésta etapa temprana cuando se puede aprovechar al máximo la ortopedia dentofacial para redirigir y estimular el crecimiento de los maxilares y obtener los mejores resultados.

Sin embargo cualquier edad es adecuada para efectuar un tratamiento de ortodoncia. En la actualidad hay un número considerable de adultos que se atienden problemas ortodónticos que no fueron corregidos durante su niñez.
