¡Llámanos y agenda tu cita!

01(443) 3125319

Diagnóstico avanazado

Diagnóstico avanzado

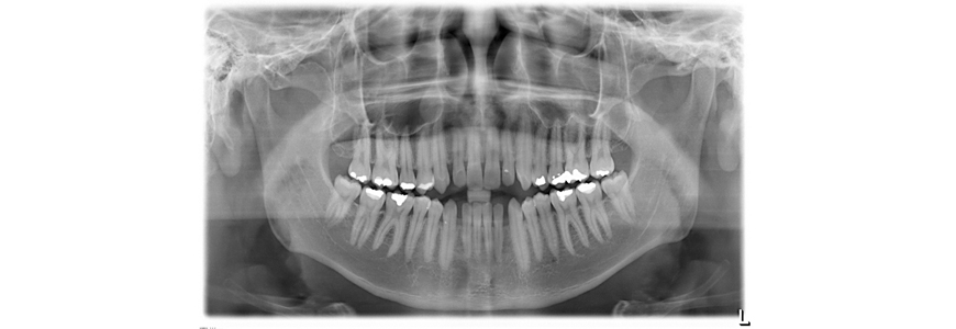
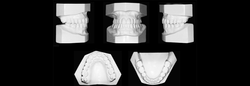
Todo odontólogo para tratar debidamente un problema sea sencillo o sea grave debe disponer de herramientas útiles para identificar y reconocer el problema que cada persona presenta.

Es por ello que su análisis no solamente lo realiza viendo a su paciente sino que también requiere de ciertos estudios para confirmar el tipo de problema que tiene cada persona, profundizar sobre los tejidos, descartar presencia de quistes o tumores en los huesos, así como para establecer el plan de tratamiento que habrá de llevar a su paciente a una satisfacción de su tratamiento.

La importante necesidad de evaluar y revisar algunas radiografías de cara y cráneo, analizar una serie fotográfica clínica especial y analizar también unos moldes en yeso (replica de la boca del paciente en yeso), asegura un absoluto conocimiento del problema o de la serie de problemas que presente el paciente, tratando durante la terapia de corregir los problemas que más severidad se presenten en cada paciente.